Why Search 'Medical Tourism in Korea'? A Global Healthcare Revelation The global quest for superior healthcare at an accessible price point inevitably leads to...
The Global Shift to Seoul for Orthopedic Excellence For patients worldwide seeking joint replacement, South Korea has emerged as the unequivocal destination for achieving...
① Korea Delivers Extremely Accurate Surgical Outcomes Through High-Precision Diagnostics Korean ophthalmology centers are globally recognized for their exceptional diagnostic accuracy.Commonly used equipment includes: OCT...
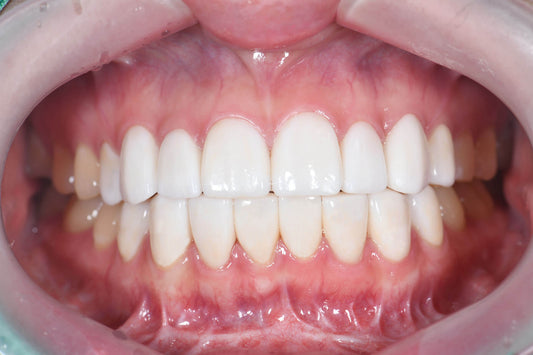
K-Dental – The Art of Function and Preservation Beyond Mere Aesthetics South Korea boasts world-class technology in cosmetic dentistry. Beyond simple teeth whitening, the...
Korean Medical Tourism Visas The Korean visa system for the purpose of medical tourism is primarily categorized into short-term and long-term visas, mainly consisting of the...
Многие пары из России, столкнувшиеся с длительным ожиданием или недостаточной эффективностью лечения на родине, ищут альтернативу. ЭКО в Корее (IVF in Korea) стало мировым эталоном...
Are you planning medical travel to Korea? For international patients, navigating a foreign healthcare system can be daunting. From complex scheduling to language barriers and...
Choosing a selection results in a full page refresh.
Thanks for subscribing!
This email has been registered!
Shop the look
Choose Options
Ask about the product & service
Back In Stock Notification
There is an error occurred. Please contact the developer.