Is Korean Laminate Safe?
K-POP Smile Secrets: Is Korean Laminate Safe? The Truth About No-Prep Miraclenate
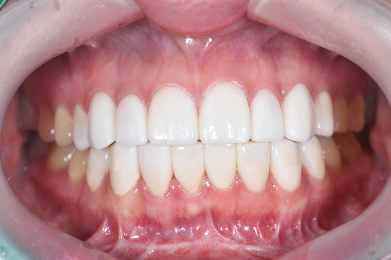
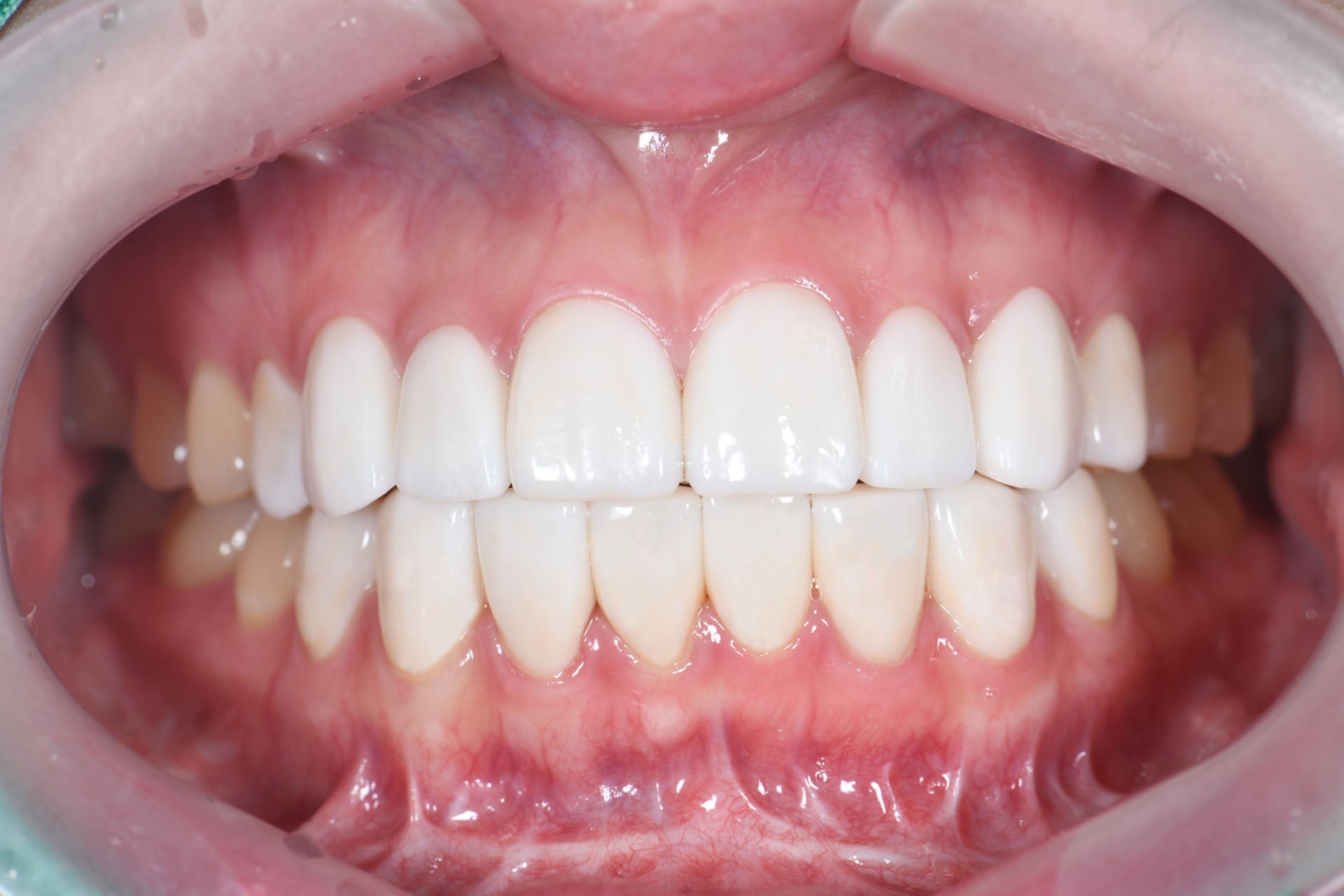
Korean K-Pop idols are famous for their flawless visuals, and the foundation of that stunning perfection is often their bright, white smiles. Many achieve this rapid transformation through cosmetic dentistry, primarily porcelain veneers (laminates).
But a question often arises: Is laminate safety a concern in Korea? Traditional veneer procedures carry risks, leading to a new, safer trend: No-Prep Miraclenate.
The Core Safety Concern: Why Traditional Laminates Worry Patients
Traditional laminate veneers have long been the go-to solution for correcting discoloration, gaps, and minor misalignments. However, they are also the source of major laminate safety concerns, particularly in the context of Korean dental tourism:
-
⚠️ Aggressive Tooth Reduction: The primary issue is the need to grind down the natural tooth structure (enamel) to make space for the veneer. Excessive reduction can lead to:
-
Sensitivity & Pain: Exposure of the underlying dentin, causing severe cold/heat sensitivity.
-
Nerve Damage: In extreme cases, irreversible damage requiring a root canal.
-
-
⚠️ Longevity and Maintenance: Once enamel is removed, the procedure is irreversible, meaning the patient is committed to replacing the veneers every 10-15 years for life.
This is where next-generation options like Miraclenate offer a game-changing alternative for those seeking the signature K-Pop Idol White Teeth without compromising health.
The Safety Solution: Introducing No-Prep Miraclenate
Miraclenate is a brand name for a specialized type of minimal-prep or no-prep laminate that directly addresses the safety issues of traditional veneers. It has gained popularity because it aligns perfectly with the needs of idols: minimal downtime, maximum aesthetic results, and preservation of natural teeth.
The Miraclenate Advantage: Safety Meets Aesthetics
-
No Tooth Reduction Principle: The name is the promise. Miraclenate uses ultra-thin ceramic shells (often as thin as a contact lens) that are designed to be bonded directly to the natural enamel. This preserves the natural tooth structure, eliminating the primary cause of post-procedure sensitivity and long-term nerve damage.
-
One-Day One-Stop Convenience: This is crucial for both K-Pop stars and international visitors. Miraclenate is typically performed using an advanced digital system:
-
Digital Scan & Design: Your smile is scanned in 3D (no messy molds).
-
In-House Lab: The specialized veneers are designed and fabricated on-site at the clinic's own lab, often using CAD/CAM technology.
-
Rapid Application: The process—from initial consultation to final bonding—can often be completed in a single day (One-Day One-Stop), a significant advantage in Korean Dental Tourism.
-
Miraclenate vs. Traditional Laminate: A Safety Comparison
Conclusion: Achieving the Perfect K-Pop Smile, Safely
While the overall safety of laminate veneers in Korea depends entirely on the clinic and the skill of the dentist, options like No-Prep Miraclenate represent a safer evolution in cosmetic dentistry.
For those dreaming of a perfect smile that is as dazzling as their favorite K-Pop idol's, prioritizing a minimal-prep procedure with a proven One-Day One-Stop track record is the smartest and safest choice.
Miraclenate FAQ
• This usually occurs within a few days and does not significantly interfere with daily life.
• This is usually temporary and will disappear within a few days to a few weeks.
• If the pain is severe or persists, contact a dentist immediately.
• Strong force may cause the Miraclenate to break or fall out.
• The habit of cutting with your front teeth is a major cause of fractures.
• Brush or gargle after eating foods that stain easily (coffee, wine, kimchi, etc.).
• Regular scaling is also very important.
What if I brux/clench my teeth?
• If you grind or clench your teeth unconsciously while sleeping, you may need to wear a night guard (mouthpiece).
Will there be a color difference after the procedure?
• Immediately after the procedure, the difference between the brightened teeth and the new ones may be noticeable, but they will blend naturally over time.
• The color difference may be more noticeable if the surrounding teeth are discolored.
Will the dentures need to be fractured or reattached?
• They may fall off or break during daily life, in which case they can be reattached or remade.
• This checkup can help monitor the condition of the prosthesis, gum health, and tooth balance, and prevent problems early.

