① Korea Delivers Extremely Accurate Surgical Outcomes Through High-Precision Diagnostics Korean ophthalmology centers are globally recognized for their exceptional diagnostic accuracy.Commonly used equipment includes: OCT...
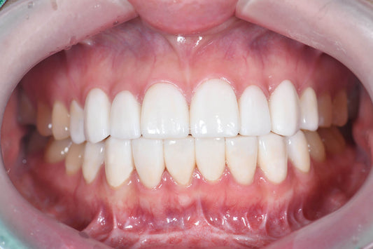
K-Dental – The Art of Function and Preservation Beyond Mere Aesthetics South Korea boasts world-class technology in cosmetic dentistry. Beyond simple teeth whitening, the...
Korean Medical Tourism Visas The Korean visa system for the purpose of medical tourism is primarily categorized into short-term and long-term visas, mainly consisting of the...
Многие пары из России, столкнувшиеся с длительным ожиданием или недостаточной эффективностью лечения на родине, ищут альтернативу. ЭКО в Корее (IVF in Korea) стало мировым эталоном...
Are you planning medical travel to Korea? For international patients, navigating a foreign healthcare system can be daunting. From complex scheduling to language barriers and...
The modern Korean beauty standard prioritizes a smooth, harmonious silhouette over mere thinness. This demand is met by Fat Contouring, an aesthetic discipline that designs...
'Bright Vision Surgery' is a comprehensive concept in Korea that utilizes state-of-the-art equipment to provide vision correction solutions best suited to an individual's eye condition...
Key Characteristics of Major Thread Lift Types Thread lifts are primarily classified by the thread's shape and material, which determine the treatment's duration and...
Choosing a selection results in a full page refresh.
Thanks for subscribing!
This email has been registered!
Shop the look
Choose Options
Ask about the product & service
Back In Stock Notification
There is an error occurred. Please contact the developer.